Urgent Dental Appointment in Brentwood, CA
When something’s wrong with your teeth or gums, it can feel overwhelming, but a great dental team will help make things clear and comfortable from the start. Whether it’s pain, swelling, or something just doesn’t feel right, an urgent dental visit can bring clarity and relief. Understanding the process helps you feel in control and …
Read More
Dentist Accepting Emergency Patients in Brentwood, CA
It’s easy to feel overwhelmed when something unexpected happens with your teeth. Whether it’s sudden pain, swelling, or damage to a tooth, a dental emergency can interrupt your day and leave you wondering what to do next. That’s why finding a dentist who welcomes emergency patients can be such a relief. A great dentist like …
Read More
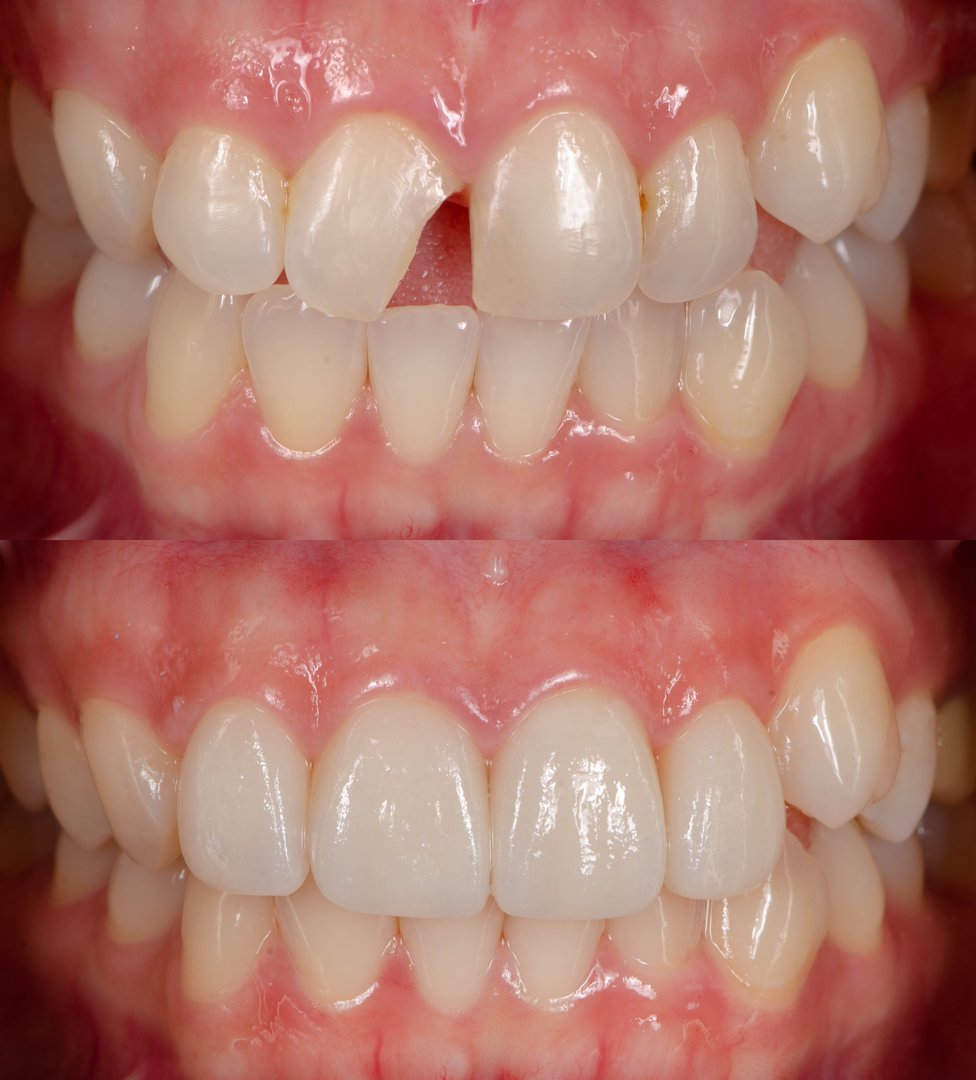
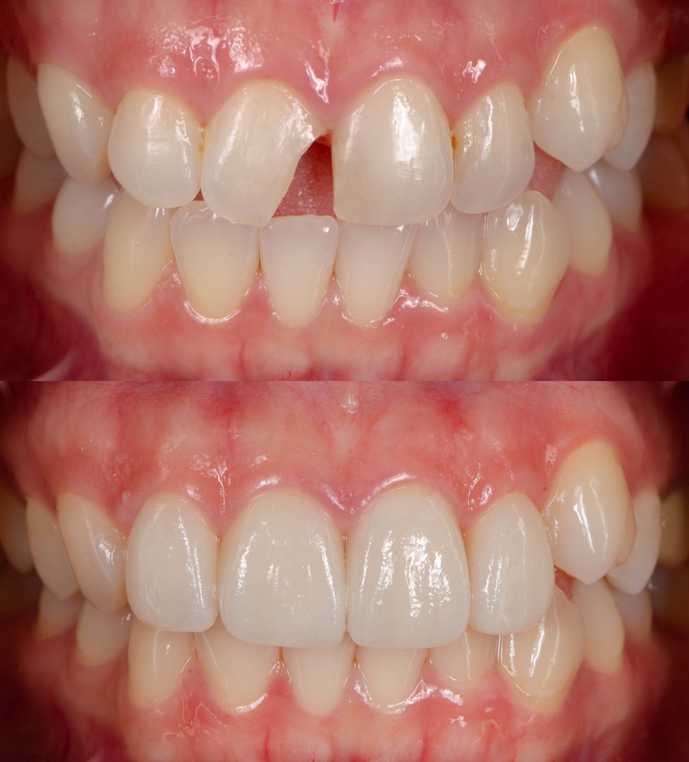
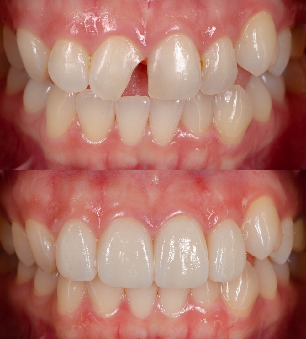
Broken Tooth Treatment in Brentwood, CA
A broken tooth can feel overwhelming at first, but the right dental care can turn it into an opportunity for restoration and peace of mind. Many people feel unsure about what a broken tooth means or what to do next. A supportive dental team will help you understand your choices and make your visit as …
Read More
Tooth Ache Treatment in Brentwood, CA
A toothache can interrupt your day and your plans, but getting it treated quickly helps restore your routine and your peace of mind. Many people aren’t sure what their pain means or what to expect at the dentist, and that’s okay. A good dental team will help you understand your options clearly and make you …
Read More
Tooth Pain Treatment Near Me in Brentwood, CA
Finding a highly skilled dentist to address tooth pain is crucial for restoring your oral health and well-being. When you experience dental discomfort, you want assurance that you are in the hands of a professional who possesses the expertise and experience to provide effective and lasting solutions. A skilled dentist not only alleviates your pain …
Read More
Urgent Dental Appointment in Brentwood, CA
When something feels off with your smile, getting seen quickly can restore your comfort and confidence. Whether it’s a sudden toothache, a broken crown, or swelling you’ve never experienced before, urgent dental appointments help you return to daily life without the distraction of discomfort. A prompt visit can also make a big difference in how …
Read More
Tooth Ache Treatment in Brentwood, CA
There’s nothing like the confidence that comes with a great smile. But if you’re dealing with a nagging toothache, it can be hard to enjoy the way you look or feel at your best. Treating that discomfort doesn’t just ease the pain—dit helps you feel proud of your appearance and reassures you that you’re getting …
Read More
Dentist Accepting Emergency Patients in Brentwood, CA
A confident smile can make your day brighter and your interactions smoother, but a sudden dental issue can throw all of that off balance. Whether it’s a chipped tooth before a big event or a painful bite that catches you off guard, knowing that a dentist is ready to help in an emergency gives you …
Read More
Broken Tooth Treatment in Brentwood, CA
Your smile plays a big role in how you feel about yourself, and a broken tooth can affect your confidence. Fortunately, modern dental care offers effective solutions that restore both appearance and function. With expert treatment, you can feel proud of your smile again without stress or uncertainty. How your smile can be restored Fixing …
Read More
Urgent Dental Appointment in Brentwood, CA
Timely dental care can make a world of difference when something doesn’t feel right. Whether you’ve noticed a change in your bite, discomfort when eating, or a sudden issue that won’t go away, prompt treatment can protect your oral health and prevent further complications. When a dental office makes urgent care a priority, it helps …
Read More